Cuidado dental y uso excesivo de carillas.

Karolina Martinez
1 Min Read

Por: Sofía Hernández

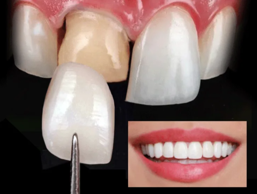
El uso de carillas dentales ha aumentado por razones estéticas, pero especialistas advierten sobre los riesgos de aplicarlas sin necesidad. Las carillas, aunque mejoran la apariencia, requieren limar parte del esmalte, lo que puede causar sensibilidad, caries o daño irreversible.

Expertos recomiendan priorizar el cuidado dental preventivo con buena higiene, revisiones regulares y evitar tratamientos invasivos si los dientes están sanos. La salud bucal debe estar por encima de la apariencia.

Share This Article
Leave a Comment

Deja una respuesta

Tu dirección de correo electrónico no será publicada. Los campos obligatorios están marcados con *

Este sitio usa Akismet para reducir el spam. Aprende cómo se procesan los datos de tus comentarios.